予防歯科

予防歯科

むし歯で歯が痛くなる、または歯がグラグラしてから歯科医院を訪れる患者様もいらっしゃいますが、それでは少し手遅れです。
むし歯や歯周病で溶けたアゴの骨は元には戻りません。
歯やアゴの骨が悪くならないように病気を予防していく事がとても重要です。
最近では患者様の予防への意識も徐々に高まってきています。
予防歯科では、歯を失う主な原因である「むし歯」、「歯周病」の発症を防止します。

予防歯科に対する取り組み

むし歯、歯周病の仕組みやご自身の口腔のリスクを知ることにより、むし歯になりにくい歯をつくり、歯自体の質を高めていくことができます。
当院では、生活習慣や食生活、フッ素の利用状況、磨き方など、いろいろな角度から病気発症への対策を効果的に実施します。
適切な予防歯科の実践は、生涯健康な歯で豊かな生活を送っていくことにつながります。

染め出しの活用

歯も白、プラーク(歯垢)も白。きちんと汚れが落ちているか、染め出しをして磨き残しを確認することができます。
予防歯科では、患者様に合ったブラッシング法を衛生士が専門的立場から丁寧に指導しています。

ピンク変色部位:24時間以内のプラーク

むらさき変色部位:24時間以上のプラーク

衛生士からのメッセージ

予防歯科の主役は患者様です。定期的なむし歯のチェックや歯石除去ももちろん大切ですが、一番大切なのは患者様自身によるセルフケアです。
ご自身の口腔内の状態を把握し、それに合ったブラッシング法を一緒に身につけましょう。

8020運動および6424運動

日本歯科医師会が推奨する8020運動、つまり80歳で20本以上の歯を保つという目標到達のため、またその中間目標として64歳で24本以上の歯を保つこと(6424運動、茨城県歯科医師会推奨)を念頭に掲げ、歯と口腔が健康で豊かな生活を送れるよう治療および予防に取り組んでいます。
予防歯科についてはご予約のうえお気軽にご相談下さい。

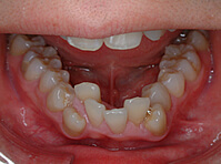
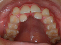
予防と矯正治療

矯正治療を行い歯の寿命を延ばすことができるケースも存在します。
矯正をすることでお手入れがしやすくなり、むし歯ならびに歯周病の予防につながる患者様もいらっしゃいます。
また、矯正後にお口が閉じやすくなることで、口腔内の乾燥を防ぎ、むし歯ならびに歯周病の予防にもつながります。

矯正治療を行い歯の寿命を延ばすことができるケースも存在します。
矯正をすることでお手入れがしやすくなり、むし歯ならびに歯周病の予防につながる患者様もいらっしゃいます。
また、矯正後にお口が閉じやすくなることで、口腔内の乾燥を防ぎ、むし歯ならびに歯周病の予防にもつながります。

やました歯科・矯正歯科クリニック

〒300-1216
茨城県牛久市神谷1-52-13
【駐車場】21台完備

やました歯科・矯正歯科クリニック

〒300-1216茨城県牛久市神谷1-52-13
TEL:0120-74-6488
【休診日】木曜・祝日
【駐車場】21台完備