小児歯科

小児歯科

お子さまの歯の健康管理は、
ご家族の方の愛情、歯科医に対する熱心な協力があってこそはじめて出来るのです。
小児歯科についてはご予約のうえお気軽にご相談下さい。

お子様の治療について

治療に緊急性がない場合、基本的にお子様の治療おいては徐々に慣れてもらえるよう歯科治療へのトレーニングから開始し、恐怖心なく治療できるまで根気よく見守り、お子様が不快な経験をしないよう十分に配慮しております。

既にお痛みがあり緊急な処置が必要な患者様の場合は速やかに痛みを和らげるための処置を行っていきます。治療の際は、ご家族の方にお子様の口腔内の状態、治療方法などを詳しくご説明し、治療を行います。歯科に恐怖心を抱いているお子様は、既にむし歯の痛みを経験していることが多く、歯医者さんは痛い・こわいと駐車場から泣いてしまう患者様もいらっしゃいます。

むし歯の痛みなど経験する必要はありません。お子様の歯の健康管理にはご家族の方の協力が不可欠です。日々のお手入れの大切さを再認識していただき、そのフィードバックとして定期検診も忘れないでください。

お子様のフッ素塗布について

特殊器具による歯ぐきの検査を行い、各患者様の歯周病の状態を把握し、適切な診断・治療を行います。
歯周病の治療は、一般的に歯周病の原因となるバイオフィルムの破壊、除去を実施し、薬液にて消毒・殺菌します。

歯周病は患者様が症状に気付きにくい病気とされています。歯周病が重症化し、歯を支える骨に及び歯を失うことがないよう、日々のお手入れと定期検診がとても大切です。

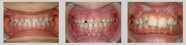
お子様の歯並びについて

矯正の必要性が高い患者様には矯正認定医(日本矯正歯科学会)による適切なアドバイスをさせていただいております。
むし歯になった子供の歯を放置すると、アゴの中にある永久歯(大人の歯)の質と将来の歯並びに悪い影響があります。乳歯のむし歯治療および予防は将来のお口の健康にとても重要です。

既に子供の歯のむし歯を放置してしまい、歯並びが気になる方は、それ以上の悪化を防ぐ治療や動いてしまった周囲の歯を元の位置に戻す治療を行う必要があります。

小学校の入学前後の悩みとして、やっと生えてきた永久歯が上下逆に噛んでいる、前歯がガタガタしている、前歯に隙間があり将来の歯並びを不安などがあり、よく相談を受けます。

実際矯正が必要なのか、開始するタイミングはいつなのか、専門的な知識をわかりやすくご説明させていただきますので、むし歯治療や定期検診の際に相談してください。  

やました歯科・矯正歯科クリニック

〒300-1216
茨城県牛久市神谷1-52-13
【駐車場】21台完備

やました歯科・矯正歯科クリニック

〒300-1216茨城県牛久市神谷1-52-13
TEL:0120-74-6488
【休診日】木曜・祝日
【駐車場】21台完備