矯正歯科
矯正歯科
矯正治療の診療時間
診療時間
月
火
水
木
金
土
日
午前
9:00~12:30
○
○
/
/
○
※
※
午後
2:00~8:00
○
/
/
/
○
※
/
休診:火午後・水・木・祝日
※土曜は午前9:00~午後5:00まで診療。
※日曜は午前9:00~午後1:00まで診療。
急患は随時対応しています。お電話後に来院してください。
休診:火午後・水・木・祝日
※土曜は午前9:00~午後5:00まで診療。
※日曜は午前9:00~午後1:00まで診療。
急患は随時対応しています。お電話後に来院してください。
- 矯正医が常におりますので、治療中の急なトラブルにも対応可能です。
- 一般歯科はもちろんのこと、小児歯科、予防歯科、口腔外科、審美歯科など、トータルケアが可能です。
- 3歳から成人の方まで矯正治療は可能です。気になることがありましたら、お気軽にご相談ください。
- 従来からの矯正装置のほか、見た目を気にされる患者様には、見えない矯正装置をご提案いたします。
歯列矯正とは
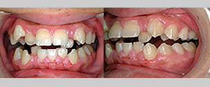
悪い歯並びや噛み合わせを、きちんと噛み合うようにして、きれいな歯ならびにする歯科治療です。悪い歯並びや噛み合わせをそのままにしておくと、食べ物がよく噛めない、発音が不明瞭である、むし歯や歯周病になりやすい、口臭の原因になる、アゴの関節に負担をかける、歯を折りやすいなどさまざまな問題が生じるとされております。矯正治療を行うことで、これらの問題を解決し、美しい笑顔と健やかな口腔環境をつくることができます。
矯正歯科治療は公的健康保険適用外の自費(自由)診療です。
矯正歯科のコンセプト
審美的な問題、機能的な問題を解決し、歯周組織にやさしい矯正治療をご提案させていただきます。
患者様の口腔内は個々に異なります。患者様とよく話し合い、すべての患者様に満足していただける矯正治療を行えるよう努めてまいります。
また、治療の際は、清潔・安全・安心を念頭に置いて、診療器具の滅菌はもちろん、診療室が快適で、通院しやすい環境を整える努力をしていきます。
顎への負担を軽減し、噛めるということ
本来すべての歯で均等に噛むことが理想ですが、全体に噛むのではなく、まず不正な位置にある歯があたってしまうことがあります。このままにしておくと、強くあたる歯が欠ける、削れる、アゴが痛くなるなどの症状が現れてしまいます。
矯正治療では、「よく噛める」ように機能回復をはかることも目標のひとつです。
矯正治療のタイミング
子供の矯正治療は、治療開始時期が大変重要ですが、永久歯萌出後であれば本人が治したいと思った時が矯正治療の適齢期です。何歳でも矯正治療は可能です。気になることがありましたら、早期受診をお勧めしています。
当院では、3歳~アゴの成長がある小学生、大人の歯が萌出完了する中高校生、成人の方までと幅広い年齢層の患者様に矯正治療が行われております。勉強とスポーツの両立にさらに矯正治療を加えて学生生活をしている患者様、お仕事をしている方も仕事の前後やお休みの日を利用して、妊娠中や子育て中のママ患者様、歯周病をコントロールしながらの成人矯正患者様など、それぞれがご自分の悩みの解決に向けて努力されています。
矯正治療のながれ
初診相談
矯正治療の必要性および開始時期、方法、費用などについてのご説明。
1時間のご予約。
◎当院では患者様とのお話合いを大切にしています。初診相談時には1時間のご予約を確保しておりますので、解らないことがありましたら、遠慮なく質問してください。
精密検査
問診票の記入、歯型、レントゲンおよび写真撮影、アゴの検査などの資料採得。
1時間のご予約。
コンサルテーション
精密検査の結果より、治療方針、方法ならびに料金の決定と契約。
30分のご予約。
矯正治療
ご自身の歯できれいな歯並びを目指し、積極的に歯を移動。
30分のご予約。1か月に1回~3か月に1回のペースでご来院。
治療期間は約6か月~2年半位 通院期間は4~30回くらいです。
保定治療
きれいな歯並びが維持できるよう、装置を替えて経過観察。
30分のご予約。3か月~6か月に1回のペースでご来院。保定期間は約2年。
初診相談
矯正治療の必要性および開始時期、方法、費用などについてのご説明。
1時間のご予約。
◎当院では患者様とのお話合いを大切にしています。初診相談時には1時間のご予約を確保しておりますので、解らないことがありましたら、遠慮なく質問してください。
矯正治療
ご自身の歯できれいな歯並びを目指し、積極的に歯を移動。
30分のご予約。1か月に1回~3か月に1回のペースでご来院。
治療期間は約6か月~2年半位 通院期間は4~30回くらいです。
永久歯列の矯正治療について
ご自分の歯を特殊な装置を用いて移動し、「美しさ」はもちろん、「よく噛める」ように機能回復をはかる治療です。
患者様とのお話し合いにて治療ゴールを定め、個々にあった治療方法を選択し、矯正治療が患者様の負担にならぬよう治療を進めていきます。
全体矯正、部分矯正、補綴前矯正、歯科矯正用アンカースクリューを使用した矯正歯科治療など、年齢に関係なく行うことが可能です。矯正治療前に精密検査を実施し、患者様の希望にかなう治療ができるか十分な話し合いを行い、契約を結び、治療を開始します。
詳しくは矯正相談(1,100円)にてご説明いたします。
永久歯列の矯正装置
前歯には目立ちにくい審美的なセラミックブラケットを使用し、頬で見えない奥歯にはメタルブラケットを使用しています。伝統的な矯正装置であり、どのような症例においても使用することが可能です。
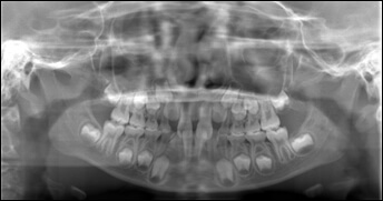
乳歯~混合歯列の矯正治療について
子供の矯正治療は、咬合誘導とも呼ばれ、治療開始時期が非常に重要になります。子供の場合、アゴの成長があること、アゴの骨が柔らかいことなどを利用して、この時期だからこそ行える治療があります。
永久歯が生え揃うまで待っていいケースもありますが、アゴの成長発育に問題があるケースや機能的に問題があるケース、歯がガタガタしスペース的に問題があるケースにおいては早期対応が必要です。
また、日常的な癖(指しゃぶり、頬杖や舌の動きなど)が歯並びに悪影響を及ぼすこともありますので、乳歯~混合歯列期の生活習慣の改善が必要になるケースもあります。
ご自分のお子様がどのケースなのか、矯正初診・相談(1,100円)にてお話しさせていただいています。
乳歯~混合歯列の矯正装置
使用装置は永久歯の矯正装置とは異なります。
症例によって様々ですが、基本的に歯の裏側につける目立たないもの、または取り外しのできるもの(可撤式)が多いです。
お子様の性格に合わせて固定式、可撤式など選択肢は多数ご用意しています。
部分矯正・補綴前矯正・歯科矯正用アンカースクリューを使用した矯正歯科治療について
部分矯正・補綴前矯正・
歯科矯正用アンカースクリューを
使用した矯正歯科治療について
気になる場所のみ部分的であっても矯正治療は可能です。
初診相談にて治療法、治療期間、料金など詳しいお話をさせていただき、その部分のみの矯正ができるか判断させていただきます。使用装置は基本的に従来からの矯正装置で行っております。
矯正歯科 料金表
①治療前の費用
項目
費用
初診相談料
1,000円
②治療開始時の費用
項目
費用
再診料
600円
精密検査料(1時間)
35,000円(CT無)
50,000円(CT有)
※成人矯正・アンカースクリュー使用時はCT必須
35,000円(CT無)
50,000円(CT有)
※成人矯正・
アンカースクリュー使用時は
CT必須
永久歯列の治療
基本料金:780,000円~
調整料金:3,000円(毎回)
治療期間:約24~30ヶ月
通院期間:24~30回
混合歯列の治療
基本料金:300,000円
調整料金:3,000円
治療期間:約6~30ヶ月
経過観察・保定観察
2,000円
経過観察
保定観察
2,000円
子どもの矯正
項目
費用
乳歯列の治療
乳歯列の
治療
基本料金:150,000円~300,000円
調整料金:3,000円
基本料金:
150,000円~300,000円
調整料金:3,000円
混合歯列の治療
基本料金:300,000円
調整料金:3,000円
治療期間:約6~30ヶ月
経過観察・保定観察
2,000円
経過観察
保定観察
2,000円
部分的な矯正
項目
費用
部分矯正治療
(a) 上顎あるいは下顎の片顎全部(3ブロック)
基本料金:400,000円
調整料金:3,000円(毎回)
(b) 片顎の片顎、あるいは両側の前/臼歯(2ブロック)
基本料金:300,000円
調整料金:3,000円(毎回)
(c) 片顎の前歯、あるいは片側の臼歯のみ(1ブロック)
基本料金:250,000円
調整料金:3,000円(毎回)
経過観察・保定観察
2,000円
項目
費用
部分矯正治療
(a) 上顎あるいは下顎の片顎
全部(3ブロック)
基本料金:400,000円
調整料金:3,000円(毎回)
(b) 片顎の片顎、
あるいは両側の前/臼歯
(2ブロック)
基本料金:300,000円
調整料金:3,000円(毎回)
(c) 片顎の前歯、
あるいは片側の臼歯のみ
(1ブロック)
基本料金:250,000円
調整料金:3,000円(毎回)
経過観察
保定観察
2,000円
※ 消費税は上記料金に含まれておりません。
矯正治療の一般的なリスクや副作用について
矯正治療の一般的なリスクや
副作用について
以下の一般的なリスク・副作用がありますが、 すべてのリスクや副作用が生じるわけではありません。
- 最初は矯正装置による不快感、痛み等があります。数日間1~2週間で慣れることが多いです。
- 歯の動き方には個人差があります。そのため、予想された治療期間が延長する可能性があります。
- 装置の使用状況、顎間ゴムの使用状況、定期的な通院等、矯正治療には患者さんの協力が非常に重要であり、それらが治療結果や治療期間に影響します。
- 治療中は、装置が付いているため歯が磨きにくくなります。むし歯や歯周病のリスクが高まりますので、丁寧に磨いたり、定期的なメンテナンスを受けたりすることが重要です。また、歯が動くと隠れていたむし歯が見えるようになることもあります。
- 歯を動かすことにより歯根が吸収して短くなることがあります。また、歯ぐきがやせて下がることがあります。
- ごくまれに歯が骨と癒着していて歯が動かないことがあります。
- ごくまれに歯を動かすことで神経が障害を受けて壊死することがあります。
- 治療途中に金属等のアレルギー症状が出ることがあります。
- 治療中に「顎関節で音が鳴る、あごが痛い、口が開けにくい」などの顎関節症状が出ることがあります。
- 様々な問題により、当初予定した治療計画を変更する可能性があります。
- 歯の形を修正したり、咬み合わせの微調整を行ったりする可能性があります。
- 矯正装置を誤飲する可能性があります。
- 装置を外す時に、エナメル質に微小な亀裂が入る可能性や、かぶせ物(補綴物)の一部が破損する可能性があります。
- 装置が外れた後、保定装置を指示通り使用しないと後戻りが生じる可能性が高くなります。
- 装置が外れた後、現在の咬み合わせに合った状態のかぶせ物(補綴物)やむし歯の治療(修復物)などをやりなおす可能性があります。
- あごの成長発育によりかみ合わせや歯並びが変化する可能性があります。
- 治療後に親知らずが生えて、凸凹が生じる可能性があります。加齢や歯周病等により歯を支えている骨がやせるとかみ合わせや歯並びが変化することがあります。その場合、再治療等が必要になることがあります。
- 矯正歯科治療は、一度始めると元の状態に戻すことは難しくなります。

